Contact us for your emergency dental care such as pain, broken tooth or filling, swelling, severe toothache or trauma / accident.
  12 Bougainville Street, Manuka, Canberra ACT, 2603
12 Bougainville Street, Manuka, Canberra ACT, 2603
Contact us for your emergency dental care such as pain, broken tooth or filling, swelling, severe toothache or trauma / accident.

Emergency Dentist NEAR ME

We Have Emergency Dentist Appointments Available

Emergency Dental Care for All the Family, Affordable Price and Flexible Payment Plans Available at Definitive Dental Canberra
Offer Limited to 15 Patients Per Month (4 Slots Left)
CUSTOM JAVASCRIPT / HTML

Emergency Dentist NEAR ME

We Have Emergency Dentist Appointments Available

Emergency Dental Care for All the Family, Fast Pain Relief, Affordable Prices and Flexible Payment Plans Available at Definitive Dental Canberra
CUSTOM JAVASCRIPT / HTML
Welcome to
Definitive Dental
20 Years of Experience
High Standard of Dental Care
Increased Patient Comfort
Convenient Payment Options 

Are You Currently Experiencing Any of These Emergency Dental Challenges?
Our extended emergency hours make us accessible when you need us most. 
Bleeding 
Gums, lips or mouth 
Aching 
Aching gum, teeth, tooth 
and/or mouth
Cracked 
Veneers, fixtures, tooth or teeth
Stuck 
Sharp object stuck in gums or teeth
Dislodged 
Tooth or teeth has been 
knocked out 
Severed
Gums, lips or mouth 

If so, Don't Delay any Longer
If you have decided to go through the hassle of looking for an emergency dentist near you or after hour support, you are likely in a lot of pain. If this is the case, we suggest you call now and address your concern. If the pain you are experiencing has come on all of a sudden and is not subsiding, this is a sign that you may require emergency dental treatment.

Ignoring toothache can cause serious long term damage. Whatever the reason for your dental emergency, we are available to support you and help manage your discomfort promptly.

Same-Day Emergency Dental Care Close to you
How Can We Help You?
Consultation Emergency Dentist Near Me
Consultation
At Definitive Dental, we will give you all your treatment options and support you with the option you choose. We have the best diagnostic technologies to quickly and accurately diagnose.
Treatment Emergency Dentist Near Me
Treatment
Treatment is usually carried out very comfortably, with sedation methods available. Our dentists are all very gentle and patient.
Emergency Dentist Tips
We are available to help you with your urgent dental needs
TOOTH PAIN RELIEF
Aching gum, teeth, tooth and/or mouth 
To cleanse your mouth, rinse with warm water. To relieve some of the pain, take an anti-inflammatory tablet such as Nurofen.
STUCK OBJECTS
Aching gum, teeth, tooth and/or mouth 
Try to gently remove the object (if it is not very painful), then apply pressure with a soft cloth once the object is removed. 
EXTENDED BLEEDING
Gums, Lips, Mouth

To minimise the bleeding, clean the area with warm water and then apply a cold pack or other cold compress.
SEVERED MOUTH 
Gums, Lips, Mouth

To minimise the bleeding, clean the area with warm water and then apply pressure with a soft cloth to the area. 
Meet Your Emergency Dentist Canberra
Dr Anthony Le Emergency Dentist Near Me
Meet Your Emergency Dentist In Canberra
Dr Anthony Le
 Dr Anthony Le is an exceptional clinician with a passion for dentistry which can be easily recognised in the way he performs in his chosen profession

 His clinical talents have been acknowledged by his peers since his time at the University of Sydney, receiving many awards and finally graduating with Honours

 He has built a reputation for outstanding cosmetic enhancements for his patients

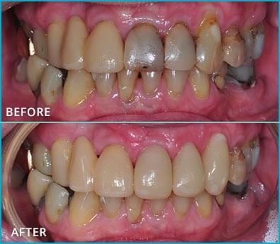
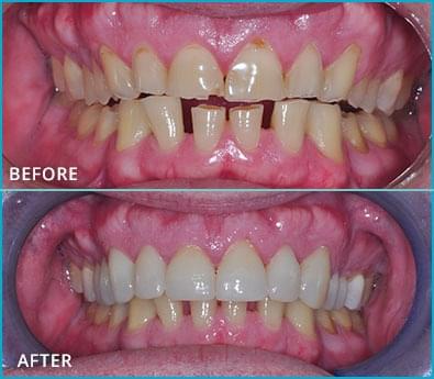
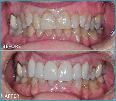
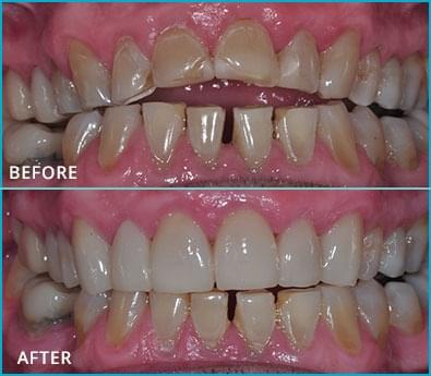
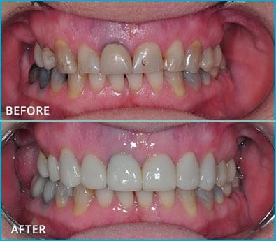
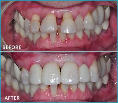
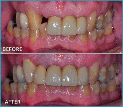
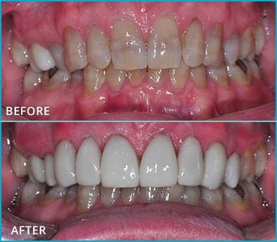
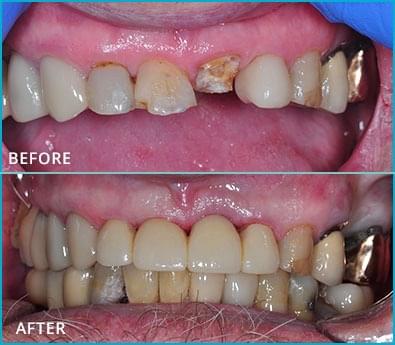
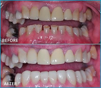
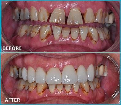
What Our Patients Are Smiling About
Welcome to Definitive Dental
Your Emergency dentist in Canberra with A HIGH standard of dental treatment in a friendly & comfortable environment
Anthony and his highly trained team are committed to providing you with the best dental treatment, service and care. We are interested in establishing a long term relationship with you and meeting your dental health goals. We will endeavour to make your visit a pleasant experience and we hope that you will feel relaxed in our practice.

The atmosphere in our practice is not of a typical dentist’s surgery. From the moment you step in the door, it will become evident that we have great consideration for your comfort and have gone to extensive measures to create a relaxing, homely environment. We invite you to relax in our comfortable lounge and select some music or a movie to watch during your treatment from our wide and current range.

Our team is committed to staying up to date with the latest developments in dental treatment and technology. We regularly attend continuing education courses to ensure the treatment you receive is second to none.
We Love and Accept All Major Health Funds
We accept DVA patients, as long as they have a Gold Card
Find us in Canberra
12 Bougainville Street, Manuka, Canberra ACT, 2603
Clinic Hours For Emergency Dental Care
CUSTOM JAVASCRIPT / HTML
CUSTOM JAVASCRIPT / HTML

FAQs - Emergency Dentist Near Me

What Will Happen During an Emergency Dental Appointment?
The dentist will first ask for you to complete a medical history form. This will include listing any allergies and medications. It is important to note this down as different conditions can affect your overall oral health and how the dentist will manage the treatment you may require. It is also important to let the dentist know if you have noticed any changes related to your mouth, lips, teeth, gums, tongue, or saliva. The dentist will check your mouth and teeth. They may take X-rays as this can help provide a greater understanding of the anatomy of your teeth and jaw and it will show signs of decay and infections which maybe not visible to the naked eye.
Do you offer emergency dentistry near me?
We have emergency appointments available, so we can be there when you need us the most. If you are experiencing pain, have suffered trauma to your teeth or have noticed swelling in your mouth, please contact us as soon as possible so we can see how we can best help you.
Terms and Conditions
There’s no pressure, and no obligation to go ahead with treatment.
If you need to cancel your appointment for any reason, please call our office ahead of time, so we can treat other people during your scheduled time.
Prices do vary depending on the complexity of your case
We’ll share a specific quote and various payment options with you

Dentist Registration Details
Dr Anthony Le AHPRA Registration No DEN0000952481, type: General
Patient Images are published with consent and are intended for educational purposes only. Results vary between individuals, and all dental procedures carry risks. Please seek professional advice from your dentist to determine whether a treatment is appropriate for your circumstances.
Contact us for your emergency dental care such as pain, broken tooth or filling, swelling, severe toothache or trauma / accident.